患者咨询:我家小孩今年12岁,牙齿有点地包天,不是特别明显,朋友说要做牙齿矫正,这个年龄可以做牙齿矫正吗?会不会有点早了
拜博医生解答:儿童如果出现地包天是越早治疗越好,有的家长认为,乳牙反牙合不要紧,等儿童换完牙齿后反牙合会自行矫正,这是严重错误的想法。当然儿童矫正必须是在儿童恒牙出现以后才能进行。12岁儿童换牙期基本结束,全部乳牙被恒牙代替,是可以做牙齿矫正的。

儿童地包天存在的危害
一、地包天不易清洁,造成牙周组织的负担牙齿排列不整齐,就很难保持口腔清洁,由于刷牙不容易刷干净,牙垢常堆积在牙缝中,形成细菌滋生繁殖的理想场所,使牙齿容易发生龋齿,牙龈也很容易发炎。牙周支持组织、牙周膜及牙槽骨受到过重的冲撞力,引起牙周组织的疾病。
二、地包天引起面部肌肉疲劳,容易引起皱纹,咬合受影响,而且牙槽骨或整个颌骨因缺乏正常咀嚼力量的刺激,将引起肌肉疲劳,面颊部和周围肌肉松弛,面部变形及皱纹增多,使得面部疲劳。
三、地包天易导致肠胃受累,引起肠胃负担影响健康:由于牙长得不整齐,或咬合关系不正常,嚼东西就很不得劲,且不能将食物嚼细。大块的食物吞咽下去,加重胃肠的负担,时间长了容易引起肠胃疾病。
【拜博口腔儿童矫正】
杭州拜博拜尔口腔儿童牙科诊疗中心拥有儿童齿科医生,以的技术优势与的制作工艺帮助每一位儿童恢复灿烂笑容,拥有快乐童年。
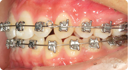
1、自锁托槽矫正-坚固耐用
技术特点:托槽外形小巧,美观;性好,无需结扎,避免了对口腔的损伤;自动调整力度,矫正过程舒适轻松;可缩短矫正时间6个月。有透明和金属托槽两种可选。

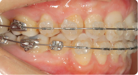
2、陶瓷托槽矫正-精工细造
技术特点:创新直丝弓矫正技术,减少了椅旁操作时间和复诊次数,使矫正时间缩短三分之一,复诊次数减少三分之一。有透明和金属托槽两种可选。

3、BYERSMILE 【贝齿】儿童矫正技术
技术特点:采用3D技术设计、生产,美观、耐用、快速、超值!不用磨牙、、无麻醉,快捷,只需就诊2次就可以解决牙齿困扰。

如果您还有任何的疑问可以咨询在线医生或者拨打健康热线400-003-0101,我们将为您提供优质的服务、好的医生和技术。