广州泰康拜博成康门诊部有限公司 -
您好,欢迎来到泰康拜博口腔!
世界500强泰康集团旗下
客服电话:400-850-0755
树脂补牙简介 TAIKANG BYBO DENTAL
  树脂补牙即选用树脂材料进行补牙,树脂材料分很多种,每种材料有不同的特性与价格。树脂补牙美观、耐磨、强度大、使用寿命更久。牙齿出现龋齿、楔状缺损、外伤等情况牙体组织缺损都需修补,以恢复其外形和功能,当病变已波及牙髓,甚至引起根尖周病时,应先治疗牙髓,再行补牙。
-适应症状-
  • 牙缺损
  • 蛀牙
  • 瓜子牙
  • 牙折断
树脂补牙遵循国际标准流程 TAIKANG BYBO DENTAAL
泰康拜博口腔从美国引进的3M树脂补牙,其填料的颗粒度达到纳米级,具有半透明性,类似自然牙,且具有乳光色泽,将牙齿的抛光性和持久性合理结合,不易脱落,是补牙的优选。
树脂补牙高真修复坏牙 TAIKANG BYBO DENTAAL
问题我的牙齿情况如何修复呢?
医生回答 泰康拜博树脂补牙融入美学理念,更好的帮助您恢复牙齿功能,更能让您拥有灿烂笑容。
咨询详情
补牙严格遵循口腔诊疗标准 TAIKANG BYBO DENTAAL
导诊台
简化就诊流程,节省患者就诊时间,导医会耐心引导患者就诊,解答各类医患疑问。
  • 医院走廊
    窗明几净,营造舒适卫生的环境,走廊墙上贴满了医院的风采和医生介绍,患者可以更充分了解拜博。
  • 消毒室
    设备规范,避免治疗出现交叉感染。
  • 药房
    专人负责,每样药品经过质量验证。
  • 设备
    就诊安全,提高治疗效率
  • 美国Beyond蓝光美白仪
    采用了昂贵、无害的美白剂,应用氧化还原原理进行美白。
  • CT全景机
    开启可视化手术治疗的新时代,为手术安全保驾护航。
  • 法国DHT麻醉系统
    操作简单,执笔式握住手柄,通过脚踏操作即可。
树脂补牙高资历医师 TAIKANG BYBO DENTAAL
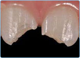
树脂补牙案例展示 TAIKANG BYBO DENTAAL
树脂补牙常见问题 TAIKANG BYBO DENTAAL